Most patients have heard the phrase “slipped disc”, “ruptured disc” or “disc popped out”. While these are certainly descriptive terms, they can be somewhat misleading. What these terms are referring to is a disc herniation. Disc herniations are common, especially in the low back (i.e. lumbar spine), and at our practice we treat this condition regularly.
A lumbar herniated disc is a common cause of low back and leg pain. Discs, which act as shock absorbers for the spine, are located in between each of the vertebrae in the spine. Each disc contains a tire-like outer band (called the annulus fibrosus) that surrounds a gel-like substance (called the nucleus pulposus).

How Do Discs Herniate?
A herniation occurs when the outer band of the disc breaks or cracks and the gel-like substance from the inside of the disc leaks out, placing pressure on the spinal canal or nerve roots. In addition, the nucleus releases chemicals that can irritate the surrounding nerves causing inflammation and pain.
Most lumbar disc herniations occur as a result of sudden stress, such as from an accident. Sometimes they occur gradually, over weeks or even months. The risk factors that can contribute to the chances of a disc herniation, include:
Aging: As we get older, discs gradually dry out, losing their strength and resiliency.
Lifestyle choices: Lack of regular exercise, not eating a well-balanced diet, being over-weight, and tobacco use substantially contribute to poor disc health. Poor posture, incorrect and/or repetitive lifting or twisting can place additional stress on the lumbar spine.

Symptoms:
-Dull or sharp pain in the lower back, intensified by movements or activities such as bending, coughing or sneezing
-Muscle spasms or cramping
-Sciatica (pain, burning, tingling, and numbness that extends from the buttock into the leg or foot)
-Leg weakness or loss of leg function.
Diagnosis
Good treatment is always based on an accurate diagnosis. Our comprehensive diagnostic process includes:
Medical history. We will talk to you about your symptoms, how severe they are, and what treatments you have already tried.
Physical examination: You will be carefully examined by one of our spine specialists for limitations of movement, problems with balance, and pain. During this exam, we will also look for loss of reflexes in the extremities, muscle weakness, loss of sensation or other signs of spinal cord damage.
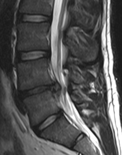
Diagnostic tests: Generally, we start with plain x-ray films, which allow us to rule out other problems such as pelvic instability or joint compression. If there is a need for further studies, CT scans and MRIs are often used to give us three-dimensional views of the lumbar spine and can help detect herniated discs.
