As we age, our vertebral discs, which serve as shock absorbers for the spine, gradually dry out, affecting their strength and resiliency. This can lead to degenerative disc disease (DDD). DDD of the cervical spine is a relatively common condition for aging adults. However, many people who have cervical degenerative disc disease don’t even know it. They may only become aware of the condition when being examined for another health problem or during a routine spinal examination.
Symptoms:
Disc degeneration is a part of aging, and is not usually a problem in mild stages. However, DDD can cause the discs to lose height and the neck will subsequently become stiff. When disc height is lost, nerve impingement, bone and joint inflammation, and resultant pain can occur. Disc degeneration causes loss of the joint space and lost range of motion, similar to arthritis pain and inflammation. In severe cases, this pain may be constant.
Diagnosis:
All effective treatments are built upon accurate diagnosis. We will use a combination of our expertise and state-of-the-art diagnostic technology to ensure a correct diagnosis. The diagnostic process includes:
Medical History:
We will ask you questions about your symptoms, their severity, and what treatments you have already tried. Physical examination: You will be carefully examined for limitations of movement, problems with balance, and pain. During this exam, we will also look for loss of reflexes, muscle weakness, loss of sensation or other signs of neurological injury.
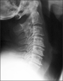
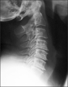
Diagnostic Tests:
A good start is with x-rays, which allow us to rule out other problems as well. The films also allow us to see if there is any loss of disc space between the vertebrae. If X-Rays indicate serious or advanced disc degeneration, an MRI would be requested.

Chiropractic Treatment:
Once the diagnosis is reached, most often a chiropractic treatment plan can be started immediately. This is designed to increase your range of motion as well as decrease the pain. Results are usually experienced that day, however like exercise, a program will need to be followed over time in order to help achieve the best results. Patients are also told to gradually increase their activities of daily living back to the level that’s comfortable for them. Physical therapy modalities are often used in conjunction with chiropractic treatments, and usually include stretching, exercises to improve flexibility and extension exercises to help maintain the spine’s natural curve. A hot/cold therapy and light massage can also be beneficial for neck pain. After acute symptoms subside (usually within two to three weeks), patients are encouraged to begin a daily exercise regimen. This may include low impact aerobics three times per week as well as daily neck exercises.
Recovery
While cervical DDD is a natural part of aging, it does not mean you have to live with neck pain. Chiropractic can help you return to a healthy and active life, and also keep you there!